• TOP
  • 審美症例:前歯をきれいにしたい

著者:

審美症例:前歯をきれいにしたい

症例

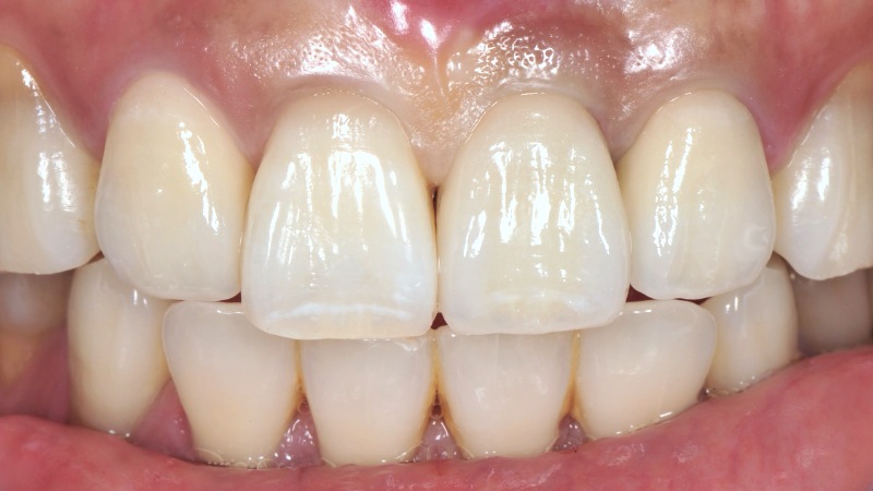
BEFORE AFTER

Before
After
主訴前歯をきれいにしたい
治療内容前歯1歯をインプラント治療をおこない2歯をジルコニアセラミックで修復
治療期間7ヶ月
費用913,000円(税込)
治療のリスク外科処置が必要

関連記事

  • 関連記事はありません。
  • カテゴリ

    当医院について

    プライム総合歯科クリニックについて

    香川県高松市にあるプライム総合歯科クリニックでは最新の設備と個室の診療空間を備え、患者様一人ひとりに寄り添った丁寧なカウンセリングと精密な治療を提供いたします。

    ご予約はこちら

    087-813-8955

    午前9:00-13:00
    午後14:00-17:30
    休診日日曜・祝日

    タップして電話をかける 24時間受付WEB予約