
香川県高松市の歯医者
プライム総合歯科クリニック
ご予約・お問い合わせ
087-813-8955
- 24時間受付中 WEB 予約
ABOUT
あなたの毎日に、
ずっと寄り添う歯科医療を。
香川県高松市の歯医者
プライム総合歯科クリニック
プライム総合歯科クリニックでは、地域の皆さまが安心して通える"生涯のパートナー"となる歯科医院を目指しています。
どんな小さなお悩みも丁寧に伺い、一人ひとりの生活に寄り添った最適な治療とケアを大切にしています。
幅広い診療に対応し、日々の予防から専門性の高い治療まで、患者さまが安心して選べる環境を整えています。
来院されるすべての方が、これからの毎日を健やかに、自分らしく過ごせるように。私たちは、温かく誠実な歯科医療を通じて、その想いを支えていきます。

ご来院に関する
ご質問

院長 石井弘之
がお答えします!
はい、当院には11台分の駐車スペースがございます。お車での通院もしやすく、小さなお子さま連れやご高齢の方にも安心してご来院いただけます。
ことでんバス「香川県済生会病院・高松桜井高校前」バス停から徒歩1分の場所にあります。琴平線太田駅からはお車で約5分と、電車・バスどちらからも通いやすい立地です。
初診の際は、「資格確認書」または「マイナンバーカード」を必ずお持ちください。また、現在お薬を服用されている方は、飲み合わせの確認のため「お薬手帳」もあわせてご持参いただけますようお願いいたします。以前の歯科医院で撮影したレントゲンや紹介状がある場合は、一緒にお持ちいただくと参考になります。
基本的には予約制でご案内していますが、急な痛みなどの場合は、可能な範囲で当日でも対応いたします。事前にお電話でお問い合わせいただけますとスムーズです。
はい、24時間いつでもWEBからご予約いただけます。スマートフォンやパソコンから、空き状況の確認と予約が可能です。日中お忙しくてお電話が難しい方も、ぜひご利用ください。急な症状の場合は、お電話でのご連絡をお願いいたします。
ご予定の変更やキャンセルが必要な場合は、できるだけ早めのご連絡をお願いいたします。お早めにご連絡いただくことで、他の患者さまへのご案内もしやすくなります。
現金のほか、クレジットカード、デンタルローンをご利用いただけます。自費診療や大きな治療費が発生する場合も、お支払い方法について事前にご相談いただけます。
クラスB滅菌器やミーレ洗浄機、ポセイドンによる院内水の衛生管理など、高水準の感染対策を行っています。器具は患者さまごとに滅菌・消毒を徹底し、安心して通院いただける環境づくりに努めています。
FIRST
プライム総合歯科
クリニックで
初めて受診される方へ
香川県高松市の歯医者
プライム総合歯科クリニック
プライム総合歯科クリニックでは、初診時に患者さまのお口の状態やご希望をしっかりお伺いします。不安なことや心配なことなど、ご遠慮なくお伝えください。
また、当院では患者さまのご都合に合わせて、現金やクレジットカードでのお支払いに加え、分割払いにも対応しております。保険適用の場合、自己負担額は3割負担が基本となります。ただし、症状や検査内容によって費用が多少前後する場合がございます。

1
インプラント専門チームによる
高度な治療体制
インプラント専門医・専門衛生士・専門技工士が揃い、治療計画から手術、補綴物の製作、アフターケアまで一貫して対応しています。チーム医療により治療精度と安全性を高め、安心して治療を受けられる環境を整えています。

2
インビザライン・プラチナ
エリート認定の矯正技術
年間症例数が評価されるプラチナエリートを取得。蓄積された経験をもとに、見た目と機能の両面を考えた矯正治療を行っています。

3
マイオブレースを取り入れた
小児矯正と口腔機能改善
習癖や呼吸、舌の使い方に着目し、子どもの成長に合わせて口腔機能を整えるマイオブレース治療を導入。将来の歯並びや全身の成長を見据えたサポートを行っています。

4
CAD/CAM専用ラボ併設の
精密な補綴システム
院内ラボを併設し、補綴物の製作をスピーディーかつ精密に実施。歯科医師・技工士間の連携が密になることで、適合の良い補綴物を提供できます。

5
先進設備による精密診断
(CT・口腔内スキャナー)
高精度の画像診断機器を用いて、正確な診断と治療計画を実施。視覚的にわかりやすく説明できるため、患者さまの不安を減らしながら安全な医療につなげています。
FEATURE
通いやすさと"長く寄り添うケア"の実現
香川県高松市の歯医者
プライム総合歯科クリニック
通いやすさと、
担当制・丁寧な説明・痛みへの
配慮を通じて、
長く寄り添う
歯科ケアを実現しています。

1
歯科衛生士担当制による
予防サポート
担当衛生士が継続してケアを行うことで、細かな変化に気付きやすく、患者さまに合った予防プランを提案できます。長期的に健康を守る体制を整えています。

2
丁寧なカウンセリングと
わかりやすい説明
治療内容や選択肢、費用を丁寧に説明し、納得したうえで治療に進めるよう配慮しています。初めての方でも安心して相談できるカウンセリング体制です。

3
地域に根ざした
"家族で通える総合歯科"
小さなお子さまからご高齢の方まで幅広く対応。地域のかかりつけ歯科として、世代を越えて信頼される歯科医療を目指しています。

4
痛みに配慮したやさしい治療
表面麻酔や細い針、丁寧な声かけなど、痛みへの配慮を徹底。歯科が苦手な方でも安心して通えるよう努めています。

5
治療計画の"見える化"で
納得の選択をサポート
CT画像やスキャンデータを基に、治療の流れや仕上がりイメージをわかりやすく可視化。選択に迷う患者さまも安心して治療に進めます。

6
学び続けるスタッフと
質の高いチーム医療
院長・スタッフともに研修や学会参加を積極的に行い、最新技術を取り入れながら質の向上に努めています。各職種が連携することで、総合的に患者さまを支えます。
TREATMENT
診療メニュー
香川県高松市の歯医者 プライム総合歯科クリニック
当院は、日常のメンテナンスから高度な専門治療まで総合的に対応できる歯科医院です。
むし歯・歯周病の治療、詰め物・被せ物の補綴治療、根管治療などの一般歯科に加え、担当衛生士制による予防ケアを重視しています。小児期の歯並びや口腔機能を整える小児矯正・マイオブレース、目立ちにくく負担の少ないインビザラインなどのマウスピース矯正も行っています。また、インプラント専門医による精密なインプラント治療、セラミック治療などの審美治療にも対応。
CT・マイクロスコープ・口腔内スキャナー・CAD/CAMなどの先進設備を活かし、一人ひとりに合った治療を提供する体制を整えています。
PICK UP TREATMENT
PREVENTIVE DENTISTRY
予防歯科
むし歯や歯周病を
“つくらない”ための
予防歯科。
当院では、「悪くなってから治す」のではなく、将来まで健康なお口を守るための“予防歯科”を大切にしています。担当の歯科衛生士が継続してお口の状態を確認し、生活習慣やリスクに合わせて最適なケアをご提案。むし歯や歯周病を早期に発見できるだけでなく、症状が出る前にトラブルを防ぐことができます。
治療を繰り返さないために、通いやすい環境づくりと丁寧なサポートで、患者さまの「今」と「これから」の健康を守っていきます。

01
衛生士担当制で
一人ひとりに最適なケア
毎回同じ衛生士が担当するため、小さな変化にも気づきやすく、長期的に質の高い予防が可能です。

02
リスクに合わせた
予防プランを作成
むし歯・歯周病のなりやすさ、生活習慣、年齢に応じて必要なケアをご提案します。

03
治療を減らし、
生涯の健康を守る取り組み
「治療中心」から「予防中心」へ。患者さまの負担を減らし、生涯にわたるお口の健康づくりをサポートします。
PICK UP TREATMENT
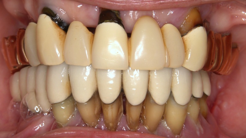
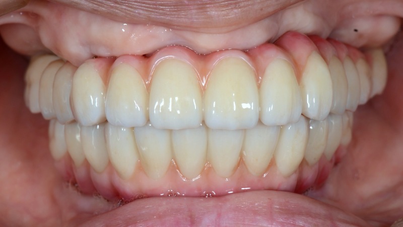
IMPLANT
インプラント治療

日本口腔インプラント学会
“専門医”が担当する、
インプラント治療。
歯を失った部分を補う治療として、インプラント専門医が精密な診断と安全な手術を行います。噛む力や自然な見た目を取り戻したい方に適しています。
プライム総合歯科では、日本口腔インプラント学会“専門医”が手術を担当します。日本口腔インプラント学会は1万人以上の会員が所属しており、厚生労働省に正式に認められた学会です。
同学会が認定するインプラント専門医は、正しい知識と豊富な経験を持つ医師であり、インプラント治療に必要な知識と技術を有していることの証明です。
無料相談受付中
PICK UP TREATMENT
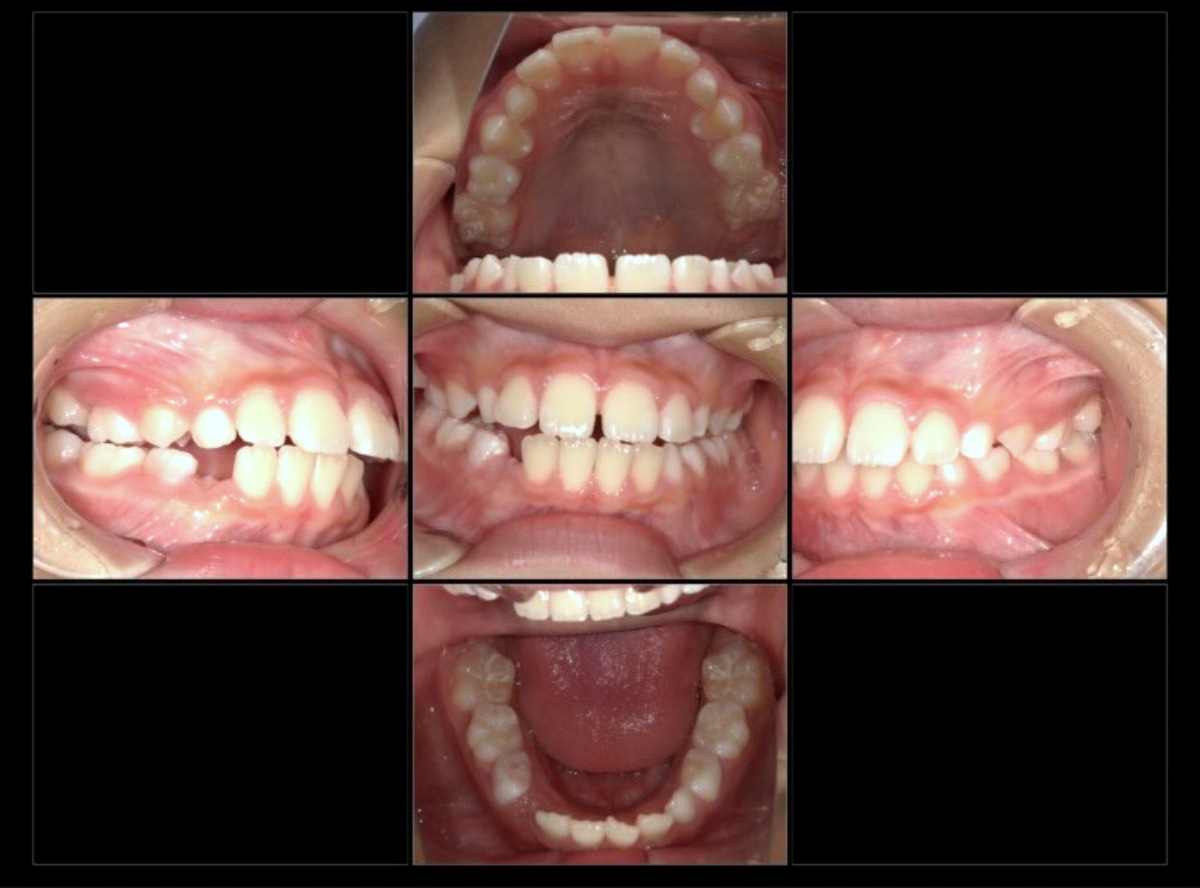
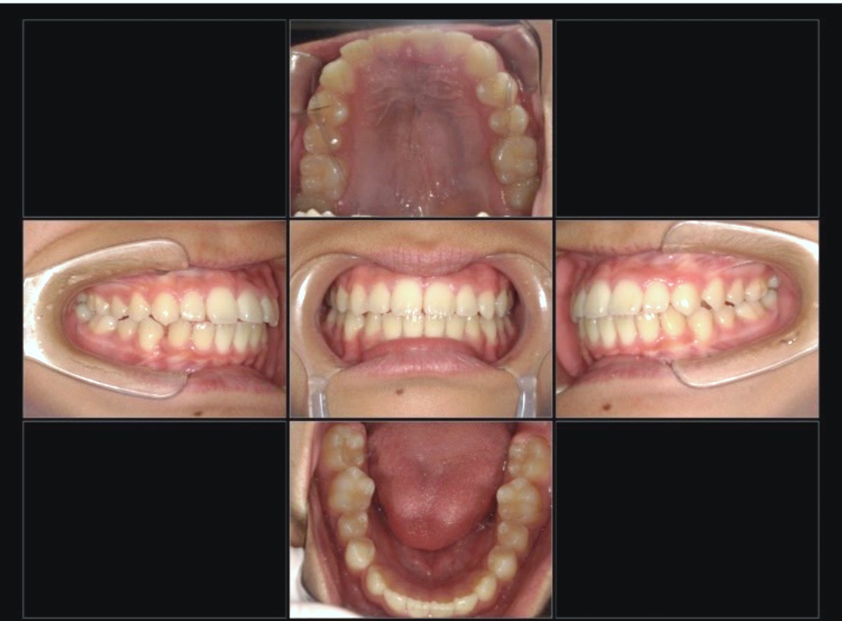
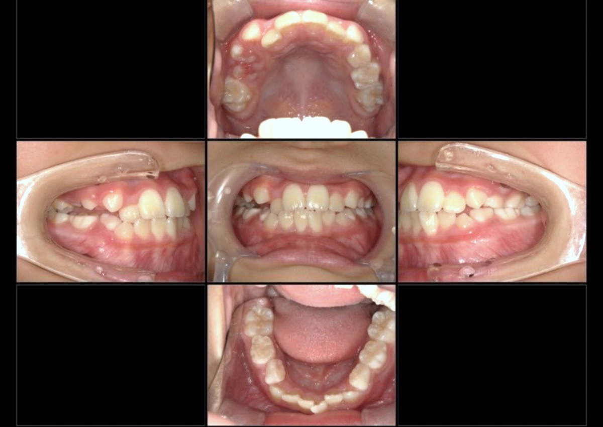
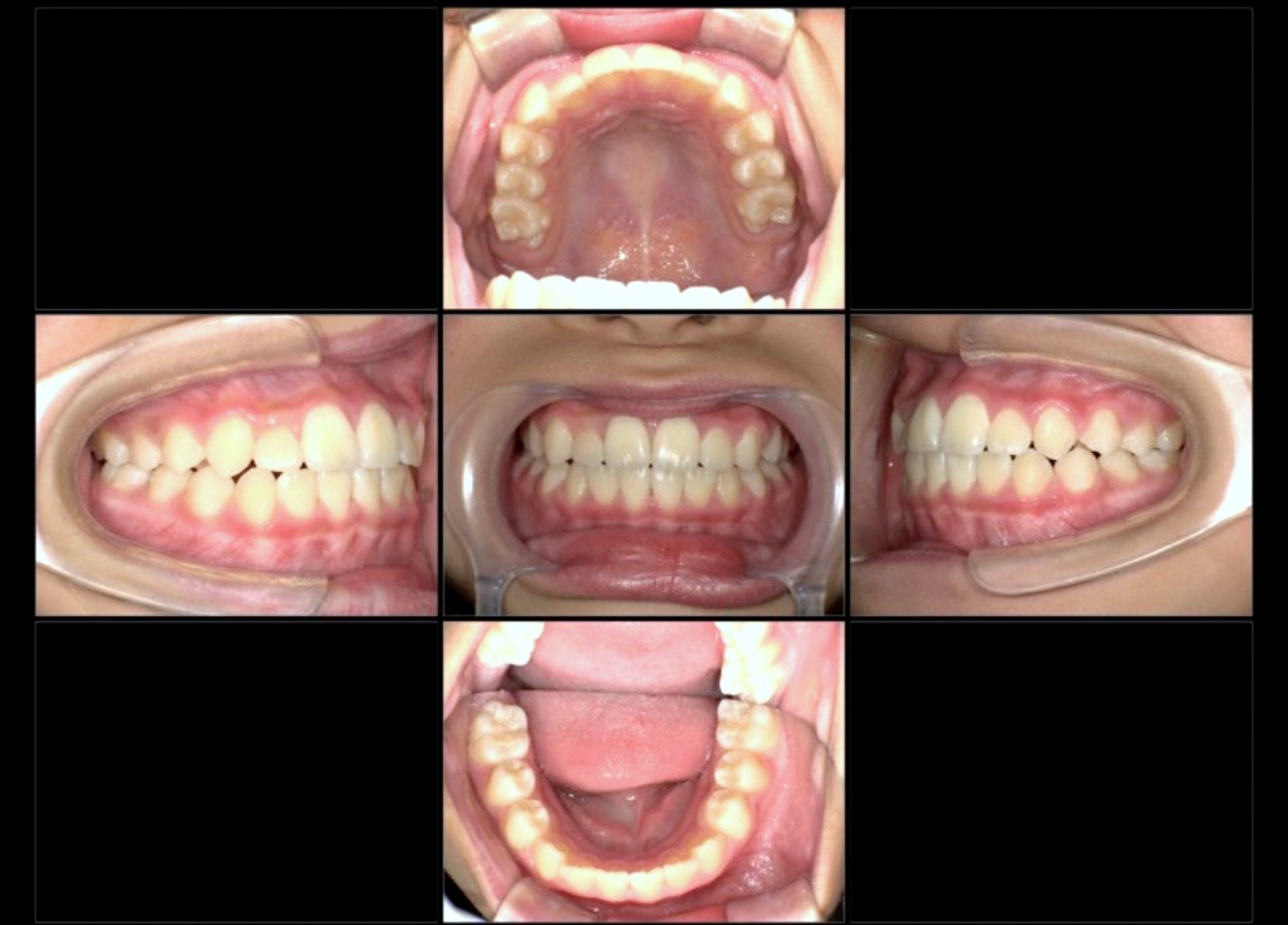
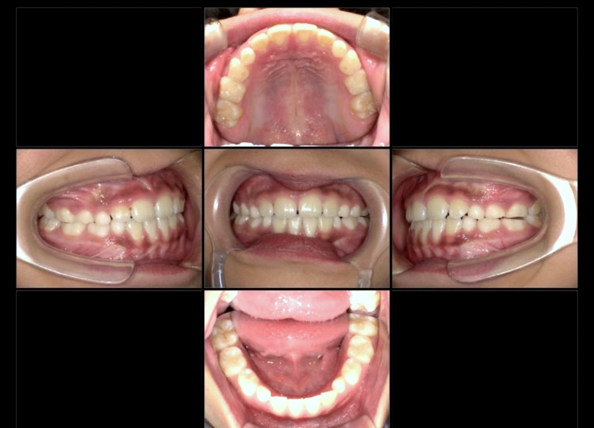
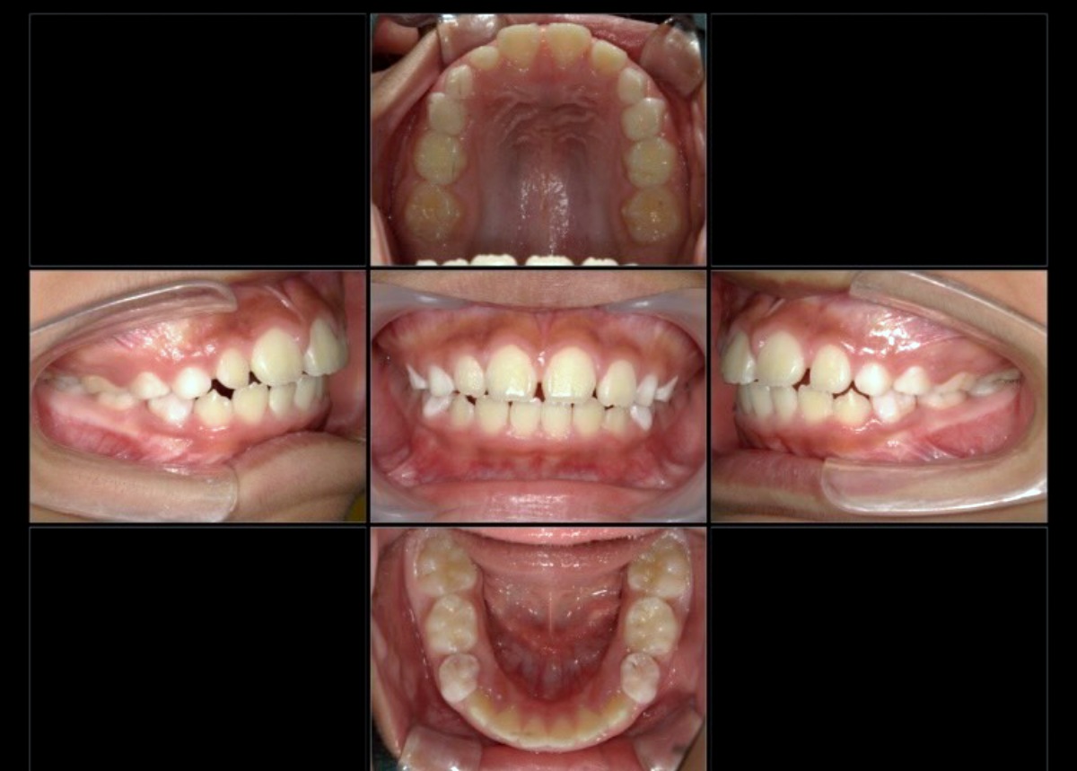
INVISALIGN
インビザライン矯正

プラチナプロバイダー取得医院
インビザライン矯正。
インビザラインプロバイダーとは、インビザラインを提供するアラインテクノロジー社が設けている認定制度で、現在10段階のランクに分けられています。
年間の治療症例が20以上であればゴールドプロバイダー、50を超えるとプラチナプロバイダーにランクアップします。
当院が認定されている「インビザラインプラチナプロバイダー」とは、年間51件以上の治療症例を持つ医師やクリニックに与えられる称号で、豊富な治療経験を持つことを示しています。
治療について詳しく知りたい方や、他院でインビザライン治療ができないと言われた方も、お気軽にご質問ください。
無料相談受付中
PICK UP TREATMENT
PEDIATRIC
ORTHODONTICS
マイオブレースの小児矯正

MyobraceMember
加盟歯科医院の、
5歳から始められる
子どもの小児矯正。
MyobraceMember加盟歯科医院に加入するには、Myobrace矯正を50症例以上実施、院内にアクティビティとコンサルルームが設置、一年以内に講習会に出席という条件があります。プライム総合歯科では、上記の条件や審査をクリアしオーストラリア本部からMyobrace Member(マイオブレース・メンバー)の認定を受けている歯科医院です。

医療法人社団成清会
プライム総合歯科クリニック
院長石井 弘之
HIROYUKI ISHII
日本口腔インプラント学会専門医
日本インプラント臨床研究会
日本顎咬合学会
はじめまして。院長の石井です。
当院は、地域の皆さまにとって安心して相談できる“身近な歯科医院”でありたいという思いから開院しました。
お口の健康は、毎日の生活や将来の快適さに大きく関わります。
だからこそ、一人ひとりのお悩みやご希望に丁寧に耳を傾け、誠実でわかりやすい医療を大切にしています。
これからも皆さまが笑顔で過ごせるよう、スタッフ一同、より良い歯科医療の提供に努めてまいります。

医療法人社団成清会
プライム総合歯科クリニック
歯科医師堀澤 佳史
YOSHIFUMI HORIZAWA
第二種歯科滅菌管理者
お子さまの歯並びや噛み合わせは、将来の健康や自信に大きく影響を与えます。
当院では、お子さま一人ひとりの成長段階に合わせた最適な矯正治療を提供しています。成長期の矯正は、顎の発育を利用して歯並びを整えるため、抜歯のリスクを減らし、より自然な歯並びを実現することが可能です。
プライム総合歯科クリニックでは、患者さまに安心・安全な治療を受けていただくために、最新の歯科設備を積極的に導入しています。
精密な診断を可能にする画像診断機器から、院内で補綴物を製作できるCAD/CAMシステム、徹底した感染対策設備まで、治療のあらゆる場面で設備環境にこだわっています。
こうした設備を整えることで、一人ひとりの患者さまにより精度の高い治療と、快適で安心できる診療体験を提供することを目指しています。
BLOG
ブログ
香川県高松市の歯医者
プライム総合歯科クリニック
インスタグラム
香川県高松市の歯医者
プライム総合歯科クリニック



























