2026-03-03
インプラント症例:上下の歯がぐらぐらして噛めない(オールオンフォー)

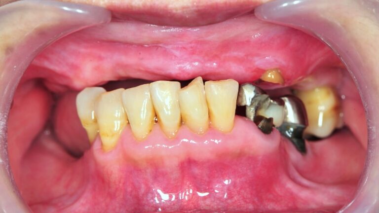
症例
BEFORE AFTER

| 主訴 | 上下の歯がぐらぐらして噛めない |
|---|---|
| 治療内容 | 重度歯周病の歯を抜歯し、インプラント治療を行い、上下固定式の補綴を装置した |
| 治療期間 | 12ヶ月 |
| 費用 | 約650万円 |
| 治療のリスク | 外科処置が必要 |

2026-03-03


| 主訴 | 上下の歯がぐらぐらして噛めない |
|---|---|
| 治療内容 | 重度歯周病の歯を抜歯し、インプラント治療を行い、上下固定式の補綴を装置した |
| 治療期間 | 12ヶ月 |
| 費用 | 約650万円 |
| 治療のリスク | 外科処置が必要 |

香川県高松市にあるプライム総合歯科クリニックでは最新の設備と個室の診療空間を備え、患者様一人ひとりに寄り添った丁寧なカウンセリングと精密な治療を提供いたします。