プライム総合歯科クリニック
  • ご予約・お問い合わせ

    087-813-8955

  • 24時間受付中 WEB 予約

MAIN MENU

  • トップページ
  • 当院について
  • 初めての方へ
  • スタッフ紹介
  • 診療案内
  • 院内設備
  • 料金・お支払い
  • アクセス

TREATMENT

  • 一般歯科治療
  • ホワイトニング
  • 予防歯科
  • 小児矯正
  • マウスピース矯正
  • インプラント
  • 審美歯科

OTHER

  • お知らせ一覧
  • 医療費控除
  • プライバシーポリシー
  • アクセシビリティー方針
  • 届出施設基準

アクセス

診療時間

WEB予約 WEB予約

24時間受付中

電話予約 電話予約

お気軽にご連絡下さい

  • TOP
  • 当院について
  • 初めての方へ
  • スタッフ紹介
  • 診療案内
  • 院内設備
  • 料金・お支払い
  • アクセス

症例紹介

Case

  • TOP
  • 症例

症例紹介

プライム総合歯科クリニックの症例一覧です。当院で扱った治療を紹介いたします。

  • 小児矯正症例:前歯の突出感

    2026-03-04
  • 小児矯正症例:受け口、下の前歯のジグザグ(叢生)

    2026-03-04
  • 小児矯正症例:八重歯、上下の歯のジグザグ(叢生)

    2026-03-04
  • 小児矯正症例:前歯で噛めない(開咬)

    2026-03-04
  • インプラント症例:上下の歯がぐらぐらして噛めない(オールオンフォー)

    2026-03-03
  • インプラント症例:奥歯を入れてほしい

    2026-03-03
  • インプラント症例:上顎の入れ歯が痛い、インプラント治療をしたい

    2026-03-03
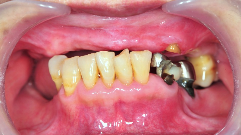
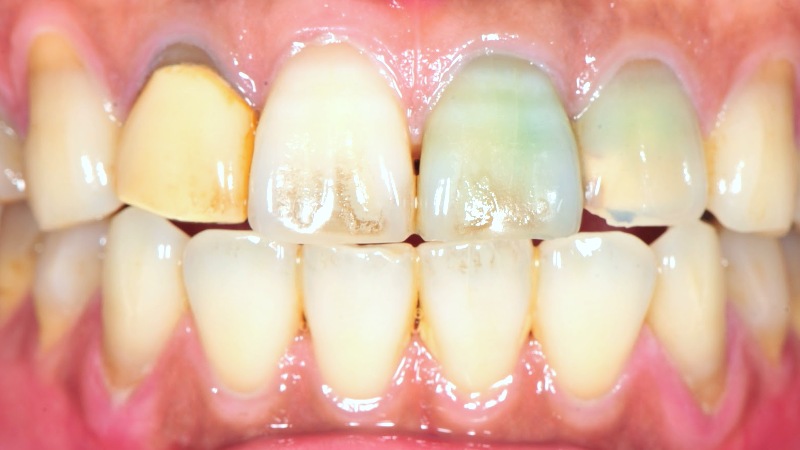
  • 審美症例:前歯をきれいにしたい

    2026-03-03

カテゴリ

  • インプラントの症例 (3)
  • 審美治療の症例 (1)
  • 矯正治療の症例 (4)

当医院について

香川県高松市にあるプライム総合歯科クリニックでは最新の設備と個室の診療空間を備え、患者様一人ひとりに寄り添った丁寧なカウンセリングと精密な治療を提供いたします。

ご予約はこちら

087-813-8955

午前9:00-13:00
午後14:00-17:30
休診日日曜・祝日

タップして電話をかける 24時間受付WEB予約

           INFORMATION

プライム総合歯科クリニック

香川県高松市の歯医者 プライム総合歯科クリニック

駐車場
完備
土曜診療
あり
高松市の
総合歯科

香川県高松市の中心
地域のかかりつけ歯科医院

香川県高松市の中心に位置する総合歯科医院として、お子さまからご高齢の方まで幅広い世代の患者さまに対応しています。
一般歯科・予防歯科はもちろん、インプラント専門医による精密なインプラント治療や、インビザラインプラチナプロバイダー認定の矯正治療など、専門性の高い診療にも力を入れています。担当衛生士制による継続的な予防管理を通じて、治療が終わった後も長くお口の健康を守れる体制を整えています。
地域の皆さまが安心して通い続けられる"かかりつけ歯科"として、どんな些細なお悩みもお気軽にご相談ください。

診療時間

月

火

水

木

金

土

日

9:00-13:00

14:00-17:30

診療時間

9:00-13:00/14:00-17:30

休診日

日曜・祝日

香川県高松市多肥上町字松林1292-1

琴平線太田駅(香川県) 出口 車5分

ことでんバス 香川県済生会病院・高松桜井高校前 徒歩1分

GoogleMapを見る アクセス詳細
map_img
ご予約・お問い合わせ 087-813-8955 WEB 予約 24時間受付中

MAIN MENU

  • トップページ
  • 初めての方へ
  • 当院について
  • スタッフ紹介
  • 診療案内
  • 院内設備
  • 料金・お支払い
  • アクセス
  • お知らせ

TREATMENT

  • 一般歯科治療
  • ホワイトニング
  • 予防歯科
  • 小児矯正
  • マウスピース矯正
  • インプラント
  • 審美歯科

OTHER

  • プライバシーポリシー
  • アクセシビリティ方針
  • 医療費控除
  • 届出施設基準
©プライム総合歯科クリニック supported by 歓尽 - 歯科専門のHP制作・ウェブマーケティング