• TOP
  • インプラント症例:上顎の入れ歯が痛い、インプラント治療をしたい

著者:

インプラント症例:上顎の入れ歯が痛い、インプラント治療をしたい

症例

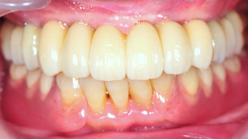
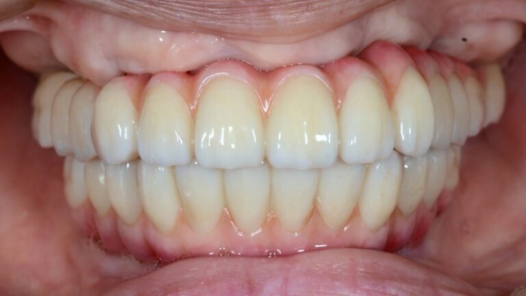
BEFORE AFTER

Before
After
主訴上顎の入れ歯が痛い、インプラント治療をしたい
治療内容上顎に6本のインプラントを入れ、12本の固定式セラミックブリッジを装置した。
治療期間9ヶ月
費用約350万円
治療のリスク外科処置が必要

関連記事

カテゴリ

当医院について

プライム総合歯科クリニックについて

香川県高松市にあるプライム総合歯科クリニックでは最新の設備と個室の診療空間を備え、患者様一人ひとりに寄り添った丁寧なカウンセリングと精密な治療を提供いたします。

ご予約はこちら

087-813-8955

午前9:00-13:00
午後14:00-17:30
休診日日曜・祝日

タップして電話をかける 24時間受付WEB予約