• TOP
  • インプラント症例:奥歯を入れてほしい

著者:

インプラント症例:奥歯を入れてほしい

症例

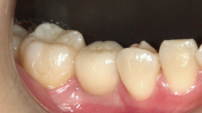
BEFORE AFTER

Before
After
主訴奥歯を入れてほしい
治療内容先天欠如の下顎第二小臼歯にたいインプラント治療
治療期間5ヶ月
費用550,000(税込)
治療のリスク外科処置を必要とする

関連記事

カテゴリ

当医院について

プライム総合歯科クリニックについて

香川県高松市にあるプライム総合歯科クリニックでは最新の設備と個室の診療空間を備え、患者様一人ひとりに寄り添った丁寧なカウンセリングと精密な治療を提供いたします。

ご予約はこちら

087-813-8955

午前9:00-13:00
午後14:00-17:30
休診日日曜・祝日

タップして電話をかける 24時間受付WEB予約