2026-03-04
小児矯正症例:受け口、下の前歯のジグザグ(叢生)

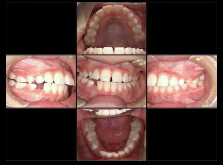
症例
BEFORE AFTER

| 主訴 | 受け口、下の前歯のジグザグ(叢生) |
|---|---|
| 治療内容 | 日中1時間以上の装置装着、アクティビティ(約10分の筋機能訓練) |
| 治療期間 | 約2年(現在も永久歯への生え変わりを診るために経過観察中) |
| 費用 | 契約時:330,000円 管理料:2,750円/月1回 |
| 治療のリスク | 指示通りの通院、装置装着、アクティビティが行われていないと治療結果が損なわれることがある。 |

2026-03-04


| 主訴 | 受け口、下の前歯のジグザグ(叢生) |
|---|---|
| 治療内容 | 日中1時間以上の装置装着、アクティビティ(約10分の筋機能訓練) |
| 治療期間 | 約2年(現在も永久歯への生え変わりを診るために経過観察中) |
| 費用 | 契約時:330,000円 管理料:2,750円/月1回 |
| 治療のリスク | 指示通りの通院、装置装着、アクティビティが行われていないと治療結果が損なわれることがある。 |

香川県高松市にあるプライム総合歯科クリニックでは最新の設備と個室の診療空間を備え、患者様一人ひとりに寄り添った丁寧なカウンセリングと精密な治療を提供いたします。